روشهای درمانی . مراقبتهای لازم
اگر کودک شما از درد دندان شکایت می کند هیچگاه مراجعه به دندانپزشک را به تاخیر نیندازید زیرا عدم درمان می تواند عفونتی ایجاد کند که برای سلامت عمومی کودک مخاطره آمیز باشد.
ترمیم: چنانچه پوسیدگی عمیق نباشد دندانپزشک دندان را ترمیم می کند،قسمتهای پوسیده و خراب شده دندان برداشته شده و با مواد مخصوص جایگزین می شود.
پالپوتومی: اگر پوسیدگی عمیق باشد ممکن است لازم باشد بخشی از عروق و اعصاب دندان که دچار التهاب شده خارج شود. در برخی موارد ترمیم تاج دندان بلافاصله بعد از پالپوتومی و در برخی موارد درمراجعه بعدی انجام می گیرد.
درمان ریشه: اگر پوسیدگی بیش از حد گسترده باشد و یا دندان دردناک شده باشد باید درمان ریشه انجام شود.
در این موارد نیز ممکن است دندان پانسمان گردیده و در جلسه بعد ترمیم شود.
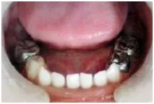
روکش فلزی (S.S.Crown): چنانچه به دلیل وسعت زیاد پوسیدگی و از دست رفتن بافتهای زیاد دندان نتوان به نحو مناسبی دندان را ترمیم کرد باید دندان را با روکش فلزی مخصوص کودکان درمان کرد تا از شکستن و از دست رفتن دندان جلوگیری شود.
خارج کردن دندان: دندانهایی که به روشهای گفته شده قابل نگهداری و درمان نباشند،از دهان خارج می شوند.
مراقبتهای بعد از درمان دندانپزشکی: پس از بیحسی موضعی به خصوص در فک پایین احتمال جویده شدن لب و گونه و زبان وجود دارد.
بنابراین طی 2 ساعت اولیه از دادن غذا به کودک خودداری کنید.
در مورد کودکان کوچکتر آنها را تحت نظر بگیرید تا این زمان سپری شود.
اگر دندان با مواد غیر همرنگ دندان (آمالگام) پر شده است تا 2 ساعت از دادن غذای جویدنی به کودک خودداری کنید.
پس از کشیدن دندان،کودک باید گاز استریل را روی محل به مدت 30 دقیقه فشار داده ،آب دهان خود را قورت دهد و کمتر صحبت کند.

